Fabricante de Ray-Ban diseñará los Google Glass
Luxoticca, fabricante de los lentes Ray-Ban y Oakley, firmó un acuerdo de colaboración con Google para "diseñar, desarrollar y distribuir" nuevos modelos de Google Glass.ver más
Luxoticca, fabricante de los lentes Ray-Ban y Oakley, firmó un acuerdo de colaboración con Google para "diseñar, desarrollar y distribuir" nuevos modelos de Google Glass.ver más
Según "Twitter Influence" los Seguidores en Twitter de las 100 empresas de la lista Fortune Global, son más conectados e influyentes que los usuarios promedio. A diferencia de la industria de salud, las industrias automovilÃsticas y de tecnologÃa cuentan con los seguidores más conectados en la red social.ver más
Una asociación de consumidores francesa anunció este martes una querella judicial contra las tres principales redes sociales -Facebook, Twitter y Google- con las que llevaba meses discutiendo para que retiraran una serie de cláusulas que considera abusivas, en particular sobre la gestión de datos personales.ver más
En el marco de su cumpleaños número ocho, Twitter lanzó una herramienta para conocer cuál fue el primer tuit de cualquier usuario que no tenga su cuenta bloqueada.ver más
Los expertos vislumbran un futuro en el que "la mayorÃa de la gente accederá de forma tan sencilla (a internet), que fluirá en sus vidas como la electricidad".ver más
Google anunció la llegada de su sistema operativo Android para teléfonos y tabletas al terreno de la tecnologÃa para vestir, en especial al negocio de los relojes inteligentes, con el objetivo de que se comercialicen los primeros "smartwatches" Android antes de fin de año.ver más
Apple anunció este martes que deja de comercializar el iPad 2, el dispositivo que confirmó el éxito de su lÃnea de tabletas lanzada en 2010 y que se convirtió en la versión de iPad más vendida en el mercado.ver más
La NASA hizo públicas nuevas imágenes captadas por la sonda Cassini sobre los famosos anillos de Saturno.ver más
Un equipo de cientÃficos de EEUU ha detectado por primera vez mediante un telescopio en el Polo Sur las "ondas gravitacionales primordiales" que se generaron tras la creación del Universo con el Big Bang.ver más
Una tasa de cereal en la mañana, es una rápida y rica opción para que los niños se apronten para ir a la escuela, pero quizás este alimento puede tener sal oculta en niveles que irónicamente muchos podrÃan considerar desagradables.ver más
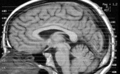
El coeficiente de inteligencia de una persona está relacionado con el grosor de su corteza cerebral, según una investigación en la que participaron varios centros de España, Reino Unido, EEUU y Canadá.ver más
El sitio de pelÃculas comerciales no autorizadas "Popcorn Time" a pesar de su éxito cerró este viernes debido a protocolos para la utilización de internet y el derecho de los films.ver más
Los responsables del prestigioso Instituto japonés de investigación Riken pidieron hoy disculpas por las anomalÃas en un controvertido estudio sobre células madre cuyos resultados han sido cuestionados por parte de la comunidad cientÃfica.ver más
El chef Kyle Von Hasseln y su equipo presentaron este jueves en Austin (EE.UU) una impresora 3D que produce caramelos, collares de chocolate y adornos comestibles para tartas de novia.ver más
Una gelatina vaginal desarrollada por cientÃficos de Estados Unidos protege a las hembras de macaco cola de cerdo -uno de los monos en la familia Cercopithecidae- de la infección con un virus similar al de inmunodeficiencia humana, aplicada tanto antes como después de la exposición, según un artÃculo que publica este miércoles Science Translational Medicine.ver más
El británico Tim Berners-Lee está a favor de crear una especie de "carta magna" de internet para proteger los derechos de los usuarios en todo el mundo, al cumplirse hoy el 25 aniversario de su gran invento, el "world wide web" (www).ver más
Un acuario de la ciudad australiana de Melbourne fue el escenario del nacimiento del primer tiburón concebido a través de inseminación artificial.ver más
Los elefantes son capaces de reconocer el lenguaje de los humanos y distinguir entre etnias y géneros, reveló hoy una investigación de la universidad inglesa de Sussex.ver más
El Gobierno nipón pidió hoy al laboratorio Riken, de financiación pública, que investigue a fondo un estudio sobre células madre puesto en duda recientemente, después de que uno de uno de sus coautores pidiera retirarlo hasta que se puedan acreditar sus resultados.ver más
Este lunes comenzó en Punta del Este la Cuarta Escuela de Educación, Ciencias Cognitivas y Neurociencias para promover investigaciones cientÃficas vinculadas (entre otras temáticas) a la actividad cerebral del adolescente. En diálogo con El Espectador, Juan Valle Lisboa, investigador e integrante del Centro de Investigación Básica en PsicologÃa, informó sobre los últimos preparativos para la apertura de la nueva escuela.ver más