Apple ya vendió nueve millones de iPhone 5
La empresa Apple afirmó hoy que ha vendido nueve millones de sus nuevos teléfonos iPhone 5S e iPhone 5C en el primer fin de semana de estos productos en el mercado.ver más
La empresa Apple afirmó hoy que ha vendido nueve millones de sus nuevos teléfonos iPhone 5S e iPhone 5C en el primer fin de semana de estos productos en el mercado.ver más
CientÃficos del Institutito de TecnologÃa de Massachusetts aseguraron que están a punto de crear un método para borrar recuerdos de la mente de una persona.ver más
Un grupo de cientÃficos británicos que halló una serie de microorganismos en la estratosfera terrestre, a 27 km de altura, está convencido de que no pueden proceder de nuestro planeta.ver más
Vea las fotos.El Tokyo Game Show de este año cuenta con dos grandes estrellas: la PlayStation 4, de Sony y la Xbox One, de Microsoft. Pero con un gran número de jóvenes modelos semidesnudas entre la asistencia, los fans del juego pueden encontrar su mirada dibujada en otros lugares.ver más
La lentitud al descargar la actualización ha sido la principal queja de los usuarios hacia los equipos de Apple. El pasado miércoles comenzó el proceso para obtener la nueva versión del sistema operativo, que trae una apariencia renovada y nuevas funciones para los sofisticados equipos.ver más
Las condiciones que hacen que el planeta Tierra sea habitable durarán, al menos, otros 1.750 millones de años, según un estudio realizado por cientÃficos de la universidad inglesa de East Anglia.ver más
El nuevo sistema operativo para los equipos de Apple tiene novedades relacionadas con el aspecto visual y organizativo, que prometen cautivar a los amantes de la marca.ver más
Preocupado por la seguridad del campo de su padre, a JoaquÃn Peraza, un estudiante uruguayo de 16 años oriundo de Paysandú, se le ocurrió construir un drone para vigilar el ganado y controlar que no ingresen ladrones ni cazadores a la propiedad. El resultado fue satisfactorio, pero JoaquÃn fue por más. Junto a su padre construyó otro drone que por...ver más
El tigre, el felino de mayor tamaño del mundo, comparte un 95,6 % de su genoma con el gato doméstico, del que se diferenció hace aproximadamente 10,8 millones de años, revela un pionero estudio publicado en la revista "Nature Communications".ver más
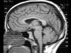
CientÃficos de la Universidad de Groninga han logrado identificar la zona del cerebro donde se desencadenan el clÃmax y la eyaculación propios del orgasmo masculino y femenino. Se trata de un lugar del tallo cerebral conocido como tegmento pontino dorsolateral, encargado de controlar las funciones básicas de expulsión de fluidos corporales como la orina.ver más
Un estudio realizado por la empresa británica Tesco Diets comprobó que quienes comienzan una dieta el dÃa martes, no sólo tienen grandes posibilidades de desertar durante la semana, sino que también podrÃan aumentar de peso.ver más
Bump fue creada en 2008 y se convirtió en una de las herramientas más populares para intercambiar archivos. El gigante de internet Google adquirió esta empresa detrás de la aplicación homónima para compartir archivos por contacto entre dispositivos, según informaron hoy las compañÃas.ver más
Vea el video. Dave Hakkens, joven diseñador holandés, publicó la semana pasada un video en el que presentaba un proyecto de teléfono "en bloques", llamado Phonebloks. Este nuevo dispositivo permite cambiar las cámaras, cambia las pilas y actualizar el almacenamiento en un solo click.ver más
La aplicación Children Tracker, que tiene como fin saber la ubicación de los hijos, ya está disponible en la tienda de aplicaciones de Google.ver más
Un dispositivo hecho por la NASA para retratar Marte, Gigapan Epic Imager, se puso a la venta y ahora cualquier aficionado de la fotografÃa puede sacar panorámicas de ensueño.ver más
Un equipo de cientÃficos europeos publicaron hoy el mayor estudio sobre la variación genética en poblaciones humanas gracias a la secuenciación del ácido ribonucleico (ARN).ver más
El experto alemán en seguridad de datos personales, Johannes Caspar, advirtió hoy de los peligros en cuanto a privacidad del sensor biométrico de huellas del iPhone 5C, uno de los nuevos teléfonos que Apple, y recordó que todo cuanto se captura por ese sistema se convierte en "imborrable".ver más
Sobre fines de los 80, estos planteamientos hechos por los psicólogos estadounidenses Diane Halpern y Stanley Coren fueron publicados en revistas del prestigio de Nature o New England Journal of Medicine.ver más
Vea video. La Agencia Aeroespacial de Japón (JAXA) consiguió hoy, tras varios intentos fallidos, llevar a cabo el lanzamiento del cohete Epsilon-1, que lleva a bordo el primer telescopio espacial de observación planetaria remota.ver más
En cinco colores diferentes y recubierto de plástico debutó en internet el iPhone 5C, uno de los dos nuevos teléfonos que Apple comercializará este mes y que, a tenor de las primeras estimaciones, está lejos de igualar la demanda de su predecesor, el exitoso iPhone 5.ver más